Info for Doctors
About Us
Services
Prescripsion Form
Products
Info for Doctors
Downloads
 
 Contact Us
ISO 9001

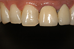
Info For Doctors :: Case Presention :: Metal Free Empress Crowns

     
 
 
Before
 
 
After
 
 
 
     
 
 
Copyright © Katara Dental 2008 - All Rights Reserved Terms & Conditions | Privacy Policy | Disclaimer Designed by pragmites
Services : Crown & Bridge Work Biohorizons Courses About Us Katara Dental Contact Us Katara Dental Sitemap