Info for Doctors
About Us
Services
Prescripsion Form
Products
Info for Doctors
Downloads
 
 Contact Us
ISO 9001

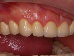
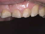
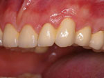
Info For Doctors : Case Presentation : Full Mouth Procera Case

 
 
Before






 
After






 
 
     
 
Copyright © Katara Dental 2008 - All Rights Reserved Terms & Conditions | Privacy Policy | Disclaimer Designed by pragmites
Services : Crown & Bridge Work Biohorizons Courses About Us Katara Dental Contact Us Katara Dental Sitemap